| 大人の矯正症例 オーストリアン咬合理論による矯正治療 |
症例1上顎前突(出っ歯)、叢生(歯がデコボコ)
![]() | 術前写真 来院理由: 前歯の歯並びを治したい。できるならば抜歯をしたくない。 初診時年齢:12歳 治療中写真 一般的には不正咬合は歯並び悪い」といいます。顎の大きさと歯の大きさの不調和から起こるといわれています。しかし、実際は、奥歯の不調和を取り除くことにより、前歯の不調和を治すことが出来るのです。結果的には抜歯を避けることが出来ました、奥歯の不調和を取り除き、審美性、機能性を両立させました。(オーストリアン咬合理論) 術後写真 治療期間:約2年半 機能的に大切な歯を抜かないで矯正できました。 |
症例2上顎前突 出っ歯 開口 ![]()
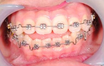
![]() | 術前写真 来院理由 初診時年齢20代前半 歯並びと開口を治したい、 顎関節の状態がよくない、顎関節の治療もしたい。 別の歯科医院では抜歯と骨を削ることを言われた症例です。 診査、診断より難症例のケースでした。 術中写真 左右の高さの差を、近年開発されたGUMMETALを患者様の状態に即して屈曲し、治していきます。 術後写真 治療期間:約2年半 抜歯も骨切り術も避けることが出来ました。 顎関節の症状も改善しました。 |
症例3 叢生(前歯がデコボコしてる。) ![]()
![]() | 術前写真 来院理由:前歯の歯並びを治したい。 初診時年齢14歳 前歯の歯並びを治したい。 大切な歯は抜かないで矯正したい。 術中写真 トヨタ自動車の関連会社の開発したGUMMETALを使用し、奥歯に生じた不調和を取り除き、前歯の不調和を治していきました。 術後写真 抜歯も避けらられ、審美性、機能性を確保できました。 治療期間:約2年 |
症例4 下顎前突、受け口、前歯がデコボコ ![]() ![]() | 術前写真 来院理由:前歯の歯並びを治したい。 初診時年齢:12歳 状況によっては抜歯、下顎の骨を切って矯正することもありうる症例でした。 術中写真 前歯の不調和は奥歯の不調和が原因して起こる場合が多いのです。咬合理論に従い、奥歯の不調和を取り除く矯正をしていきます。GUMMETALを使用し、患者様一人一人に合った、垂直的な要素を取り入れた形状のワイヤーを入れていきます。 術後写真 治療期間約2年半 機能的に大切な歯の抜歯も避けられ、また、骨切り術も避けられました。 |
お子様からシニアまで普遍的な治療の考え方 ウイーンデンタルオフィスの矯正治療の基本概念 ![]() | 大人の矯正治療も子供の矯正治療でも大切なことは、顎顔面に起こる成長と発育を考慮して矯正治療をしていくことです。 この考え方の本質は顎顔面系は垂直的な発育をしていく。常に「適応と代償反応」を繰り返していきます。 顎顔面系で起こる機能的な不調和によって、口腔内に形態的な不調和が出現する時期でもあります。治療も咬合のルールに従って行う必要があります。 |
|
患者さま、ひとり一人不正咬合の原因は異なります。つまり治療方法も一人一人異なるのです。ウイーンデンタルオフィスではオーストリアん咬合理論を基本的な考え方で、噛み合わせを重視しいた矯正治療を行っています。
その結果、審美性、機能性を両立した結果を得ています。


















